ImplantTemplate インプラント用テンプレート

テンプレート_01
テンプレート_02
Surgical template for anterior
外科用テンプレート前歯部用
テンプレート_03
Surgical template for posterior
外科用テンプレート臼歯部用

PAGE TOP


Straumann CARES Guided Surgery

guidedsurgery_01
Plannig date
Plannig date
Gonyx
Gonyx
Surgical guide template
Surgical guide template
simulation

PAGE TOP


CAD/CAM Abutments

  • abutments_01
  • abutments_02
  • abutments_03
  • abutments_04
  • abutments_05
  • abutments_06

12にインプラント、ZenoジルコニアアバットメントとプロセラアルミナCr.

PAGE TOP


Implant Fixed

チタン・カスタムアバットメント
チタン・カスタムアバットメント
ジルコニアBr.
ジルコニアBr.
ジルコニア、チタン・カスタムアバットメント
ジルコニア、チタン・カスタムアバットメント
ジルコニアBr.
ジルコニアBr.
  • fixed_01
  • fixed_02
  • fixed_03
  • fixed_04

下顎6本インプラント、プロセラチタンアバットメント、上部構造はジルコニアセラミックBr.

  • fixed_05
  • fixed_06
  • fixed_07
  • fixed_08

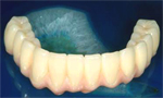
上顎8本インプラント、カスタムアバットメント、AGC、上部はチタンフレーム上にハイブリッドレジン前装Br.

PAGE TOP


Implant Screw type

  • pibzirconia_01
  • pibzirconia_02
  • pibzirconia_03
  • pibzirconia_04

PIBジルコニア、ポーセレンレイヤリング

  • pibtitan_01-1
  • pibtitan_02-1
  • pibtitan_03-1
  • pibtitan_01-2
  • pibtitan_02-2
  • pibtitan_03-2
  • pibtitan_04

PIBチタンフレーム、ハイブリッドレジンレイヤリング

PAGE TOP


Implant Overdentures

  • overdentures_01
  • overdentures_02
  • overdentures_03
  • overdentures_04-1
  • overdentures_05-1
  • overdentures_04-2
  • overdentures_05-2

上顎ロケーターアバットメントオーバーデンチャー、下顎チタンアバットメント上にジルコニアクラウン

  • overdentures_06-1
  • overdentures_07-1
  • overdentures_08-1
  • overdentures_06-2
  • overdentures_07-2
  • overdentures_08-2

ジルコニア製アバットメントに上顎W冠オーバーデンチャー、下顎ジルコニアクラウン